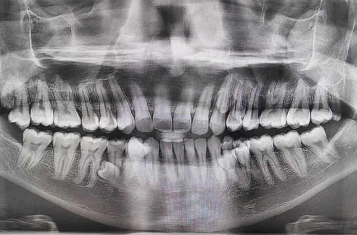
33 ýaşly malaýziýaly Prathab Muniandi erkekleriň arasynda iň köp dişli hökmünde Ginnesiň rekordlar kitabynda resmi bellige alyndy. Onuň agzynda ortaça adamyňkydan on sany köp, ýagny 42 dişiň bardygy anyklandy. Bu barada UPI neşirine salgylanýan «Gazeta.ru» habar berýär.

Muniandiniň sözlerine görä, ol bu aýratynlygy ilkinji gezek 2021-nji ýylda çaý başynda bilipdir, ol dogan-garyndaşlaryna özünde artykmaç dişleriň bardygyny aýdypdyr. Olar dişleri sananlarynda, 38 ekeni. Soňra rentgen barlagynda erkek kişiniň ýene dört dişiniň ösüp gelýändigi belli bolupdyr. 2023-nji ýylda bolsa olaryň sany 42-ä ýetipdir. Prathab dişleriniň deň ösýändigini we hiç hili biynjalyk etmeýändigini gürrüň berýär.
Ginnesiň kitabyna resmi hasaba almak üçin barlag wagtynda stamotologlar garaşylmadyk ýagdaýy – malaýziýalynyň heniz et ýarmadyk ýene iki dişiniň bardygyny anyklapdyrlar.